Enquanto muitos profissionais sofrem com a falta de pacientes e veem a sua rentabilidade diminuir, os profissionais que dominam os mini-implantes, a ancoragem esquelética e a biomecânica e resolvem casos complexos com facilidade, tem se destacado e ocupando o espaço daqueles que ainda não o fazem com excelência.
Profissionais que dominam essas técnicas avançadas não só atraem mais pacientes, mas também recebem mais indicações, consolidando-se como referências em suas cidades e regiões.
Incrivelmente, apenas 5% dos profissionais são capazes de resolver esses casos com eficiência e é ai que mora a grande oportunidade para você que está aqui agora.
Dominar os mini-implantes e a biomecânica correta para cada caso é a via mais rápida para o seu reconhecimento e para elevar a prosperidade do seu consultório.
Ortodontistas que não se atualizam correm um grande risco de ficar para trás, perdendo não apenas pacientes, mas também a oportunidade de se destacarem em um mercado cada vez mais competitivo.
VOCÊ TAMBÉM PODE
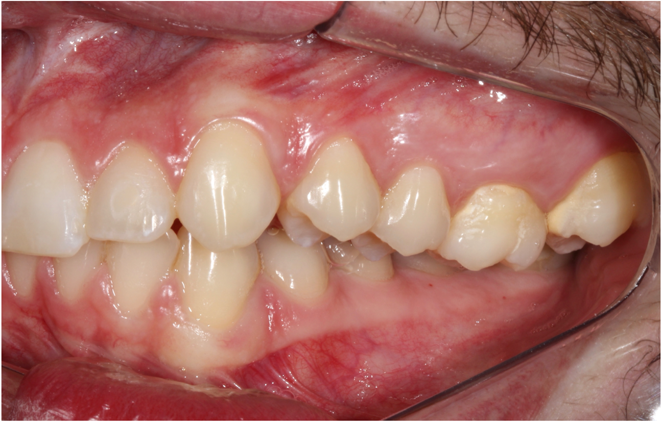
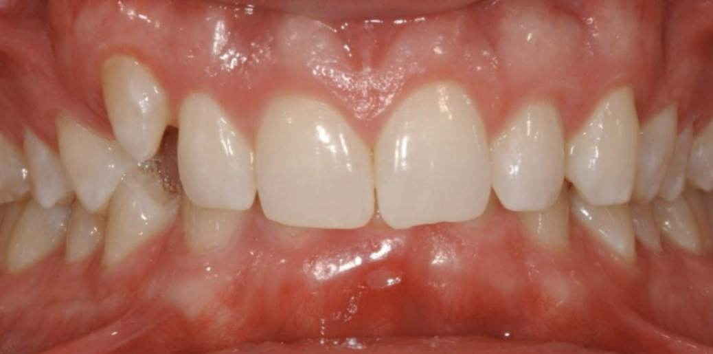
Você tem o potencial de tratar com sucesso casos complexos ao dominar as técnicas dos mini-implantes, uma habilidade altamente valorizada na ortodontia moderna. Uma área reservada para poucos profissionais, mas que com o treinamento e as técnicas corretas o profissional que domina esses casos se diferencia da grande maioria.
O receio ou até mesmo o medo de instalar os mini-implantes não podem ser o impeditivo para que você domine as técnicas de ancoragem esquelética com excelência! Visto que é praticamente impossível perfurar uma raiz e muito difícil se quebrar um mini-implante.
Resolver casos complexos com eficácia significa tornar-se uma referência em sua região, destacando-se como um profissional que recebe indicações de outros profissionais. A cada tratamento bem-sucedido, você não apenas transforma o sorriso de seus pacientes, mas também fortalece a reputação de sua prática.
Dominar estas complexidades permite ao ortodontista não só expandir sua base de pacientes, atraindo aqueles que buscam soluções específicas e menos invasivas do que a cirurgia, mas também fortalece sua reputação como um especialista de elite na comunidade médica e entre pacientes. Isso resulta em um ciclo virtuoso de referências e um aumento substancial nos rendimentos do consultório, estabelecendo o profissional como uma referência em tratamentos avançados e diferenciados na ortodontia.
Imagine transformar o seu consultório em uma máquina de receber indicações?
💭 Imagine transformar o seu consultório em uma máquina de receber indicações?
Isso se torna realidade quando você domina as técnicas dos mini-implantes apoiados com ancoragem esquelética e a biomecânica correta para cada caso. 💰
Ao dominar essas técnicas, cada paciente que você trata pode representar uma oportunidade de negócio lucrativo.
Com as estratégias adequadas, sua habilidade em resolver casos complexos se torna sua ferramenta mais valiosa, permitindo-lhe oferecer serviços especializados e altamente procurados. Isso não só mantém sua agenda sempre cheia, mas também eleva a sua capacidade de cobrar mais por seus tratamentos, graças à sua reputação como um profissional que entrega resultados com mais facilidade e agilidade.
Vou investir R$20.000,00 no Desafio Mini-Implantes na Prática, e você apenas R$97,00
Minha hora de consultoria individual está avaliada em cerca de 2 mil reais. Calculei o tempo que dedicarei para preparar as aulas e ministrá-las ao vivo, totalizando um investimento de R$20.000,00 no evento.
Você pode estar se perguntando, “Como um desafio com conteúdo tão especializado, avaliado em R$ 20.000,00 em esforço e dedicação, pode ter um ingresso por apenas R$97,00?”
Bem, vou te contar o porquê!
Lembro-me de uma viagem a Gramado, no Rio Grande do Sul, um lugar fascinante que tive o prazer de visitar junto com minha esposa Angelica. Ao reservar um passeio de quadriculo, o atendente cobrou uma reserva de 20 reais. Sem carteira ou celular, pedi para pagar mais tarde, mas ele explicou algo valioso:
“Antes, eu não cobrava pela reserva, e muitos não apareciam. Com essa pequena taxa, todos vêm, pois ninguém quer perder dinheiro, mesmo que seja só 20 reais.”
Entendeu?
Essa história reflete a razão por trás do valor de inscrição do nosso Desafio Mestre da Classe III. Os R$97 não são significantes para mim financeiramente, mas esse pequeno investimento garante que apenas aqueles realmente comprometidos e interessados em transformar suas habilidades em ortodontia e resolver casos complexos de Classe III participem.
Não quero curiosos; quero profissionais prontos para agarrar esta oportunidade e se destacar em suas carreiras.
Quero que se inscreva apenas quem esteja verdadeiramente comprometido em aprender o passo a passo para resolver casos complexos com facilidade, transformando desafios em tratamentos eficazes que não só melhoram a saúde oral dos pacientes, mas também podem elevar significativamente a rentabilidade do seu consultório.
“E o que você ganha com isso, Fernando?”
Vou ser sincero: eu sei que algumas pessoas vão aplicar as técnicas de tratamento que ensinarei durante o desafio e, após o evento, seguirão suas jornadas sozinhas. E está tudo bem.
Mas outras pessoas vão querer ir além do desafio. Elas vão buscar mais, elas vão desejar resolver os outros tipos de casos que chegam diariamente em seus consultórios. Elas vão desejar minha orientação para se tornarem referências em ortodontia em suas regiões. E vão se tornar profissionais ainda mais capacitados e reconhecidos.
Não há segredos aqui. Estou sendo totalmente transparente, como sempre fui.
Então, vou ser sincero com você mais uma vez: se você não está disposto a receber R$ 20 mil em horas do meu tempo de trabalho, investindo apenas 97 reais…
Honestamente, é porque este evento nunca foi pra você.
TOQUE ABAIXO E ESCOLHA O PLANO PARA VOCÊ:
12xR$9,68
ou R$97,00 à vista
CLIQUE E ADQUIRA SEU INGRESSO COM SEGURANÇA.
O QUE VOCÊ VAI APRENDER NO
DESAFIO MINI-IMPLANTES NA PRÁTICA
Os segredos para resolver casos complexos somente com ortodontia
Mini-implantes e biomecânica na prática
O passo a passo completo para resolver casos complexos com facilidade
Técnicas avançadas de tratamentos ortodônticos
VEJA O QUE ALGUMAS PESSOAS QUE TIVE A HONRA DE AJUDAR FALAM SOBRE MIM
“Com o que aprendi com o professor Fernando, hoje eu tiro casos complexos de cirurgia e o faturamento do meu consultório aumentou muitooo”.
“Hoje eu consigo resolver casos que antes encaminhava para outros profissionais, diminuindo o tempo de tratamento e aumentando a rentabilidade do meu consultório”.
“Após começar a resolver casos de Classe III sem cirurgia, o meu consultório se tornou referência na região, obrigado professor”.
“Antes eu mandava alguns dos meus casos para cirurgia, ou até mesmo tinha que fazer extrações, hoje resolvo esses casos somente com ortodontia”.
QUEM É O DR. FERNANDO MANHÃES?
Dr. Fernando Rayes Manhães é Especialista em Ortodontia – Unesp de São José dos Campos, Mestre em Ortodontia – pela Uniararas e Professor do Programa de Mestrado em Ortodontia nas faculdades Uniararas e São Leopoldo de Mandic.
• Ministra aula na área de ortodontia a mais de 22 anos
• Ministra palestras como professor convidado em várias entidades
• Trabalha exclusivamente como ortodontista em seu consultório particular na cidade de Americana desde 1994.
• Criador do Protocolo Barra Manhães
FERNANDO MANHÃES
Ortodontista – CROSP 42935
Todas as suas informações pessoais recolhidas, serão usadas para o ajudar a tornar a sua visita no nosso site o mais produtiva e agradável possível.
Todas as informações pessoais relativas a membros, assinantes, clientes ou visitantes que usem os produtos e serviços Dr. Fernando Manhães serão tratadas em concordância com a Lei da Proteção de Dados Pessoais de 26 de outubro de 1998 (Lei n.º 67/98).
A informação pessoal recolhida pode incluir o seu nome, e-mail, número de telefone e/ou telemóvel, morada, data de nascimento e/ou outros.
O uso Dr. Fernando Manhães pressupõe a aceitação deste Acordo de privacidade. A equipe Dr. Fernando Manhães reserva-se ao direito de alterar este acordo sem aviso prévio. Deste modo, recomendamos que consulte a nossa política de privacidade com regularidade de forma a estar sempre atualizado.
Os anúncios
Tal como outros websites, coletamos e utilizamos informação contida nos anúncios. A informação contida nos anúncios, inclui o seu endereço IP (Internet Protocol), o seu ISP (Internet Service Provider, como o Sapo, Clix, ou outro), o browser que utilizou ao visitar o nosso website (como o Internet Explorer ou o Firefox), o tempo da sua visita e que páginas visitou dentro do nosso website.
Cookie DoubleClick Dart
O Google, como fornecedor de terceiros, utiliza cookies para exibir anúncios no nosso website;
Com o cookie DART, o Google pode exibir anúncios com base nas visitas que o leitor fez a outros websites na Internet;
Os utilizadores podem desativar o cookie DART visitando a Política de privacidade da rede de conteúdo e dos anúncios do Google.
Os Cookies e Web Beacons Utilizamos cookies para armazenar informação, tais como as suas preferências pessoas quando visita o nosso website. Isto poderá incluir um simples popup, ou uma ligação em vários serviços que providenciamos, tais como fóruns.
Em adição também utilizamos publicidade de terceiros no nosso website para suportar os custos de manutenção. Alguns destes publicitários, poderão utilizar tecnologias como os cookies e/ou web beacons quando publicitam no nosso website, o que fará com que esses publicitários (como o Google através do Google AdSense) também recebam a sua informação pessoal, como o endereço IP, o seu ISP, o seu browser, etc. Esta função é geralmente utilizada para geotargeting (mostrar publicidade de Lisboa apenas aos leitores oriundos de Lisboa por ex.) ou apresentar publicidade direcionada a um tipo de utilizador (como mostrar publicidade de restaurante a um utilizador que visita sites de culinária regularmente, por ex.).
Você detém o poder de desligar os seus cookies, nas opções do seu browser, ou efetuando alterações nas ferramentas de programas Anti-Virus, como o Norton Internet Security. No entanto, isso poderá alterar a forma como interage com o nosso website, ou outros websites. Isso poderá afetar ou não permitir que faça logins em programas, sites ou fóruns da nossa e de outras redes.
Ligações a Sites de terceiros
O NPV possui ligações para outros sites, os quais, a nosso ver, podem conter informações / ferramentas úteis para os nossos visitantes. A nossa política de privacidade não é aplicada a sites de terceiros, pelo que, caso visite outro site a partir do nosso deverá ler a politica de privacidade do mesmo.
Não nos responsabilizamos pela política de privacidade ou conteúdo presente nesses mesmos sites.
Os produtos e serviços vendidos neste site não devem ser interpretados como uma promessa ou garantia de resultados. Seu nível de sucesso em alcançar os resultados divulgados com o uso de nossos produtos e informações depende do tempo que você dedica ao programa, técnicas utilizadas, conhecimento e habilidades diferentes. Como esses fatores diferem entre cada indivíduo, não podemos garantir o sucesso ou o nível de resultado, nem somos responsáveis por qualquer de suas ações. Todas e quaisquer declarações prospectivas contidas neste site ou em qualquer um de nossos produtos destinam-se a expressar a nossa opinião sobre os resultados potenciais que algumas pessoas podem alcançar.